Ana sayfa > Klinik Vakalar > Kist nedeni ile çene kemiğinde defekt oluşmuş vakamıza sert ve yumuşak doku ogmentasyonu uyguladık

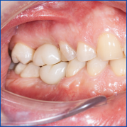
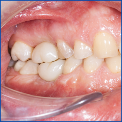
Kist nedeni ile çene kemiğinde defekt oluşmuş vakamıza sert ve yumuşak doku ogmentasyonu uyguladık

Kist nedeni ile çene kemiğinde defekt oluşmuş vakamıza sert ve yumuşak doku ogmentasyonu uyguladık