Ana sayfa > Klinik Vakalar > Diş çekiminin yıllar önce yapılmış olmasına bağlı olarak ince kemik varlığında implant ve kemik grefti uygulandı

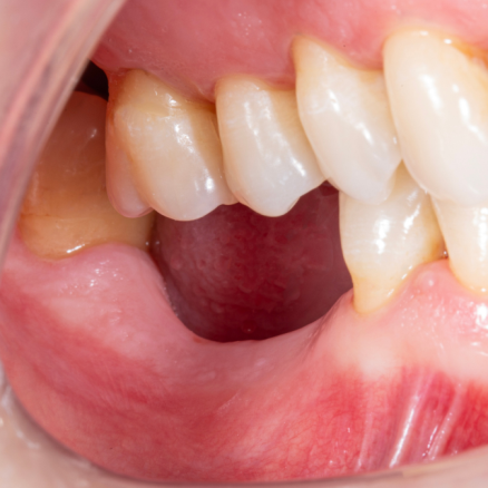
Diş çekiminin yıllar önce yapılmış olmasına bağlı olarak ince kemik varlığında implant ve kemik grefti uygulandı

Diş çekiminin yıllar önce yapılmış olmasına bağlı olarak ince kemik varlığında implant ve kemik grefti uygulandı